Gum disease is one of the most common oral health conditions—but also one of the most misunderstood. Many people don’t realize they have it, and even more are unsure whether it can be reversed. The short answer? Early gum disease can often be reversed, but advanced gum disease needs professional treatment to prevent further damage. The key is knowing what to look for, what you can (and can’t) fix at home, and when it’s time to see a dentist.
At Brennan Dental in Chandler, AZ, our team helps patients prevent, treat, and manage gum disease with advanced, compassionate care.
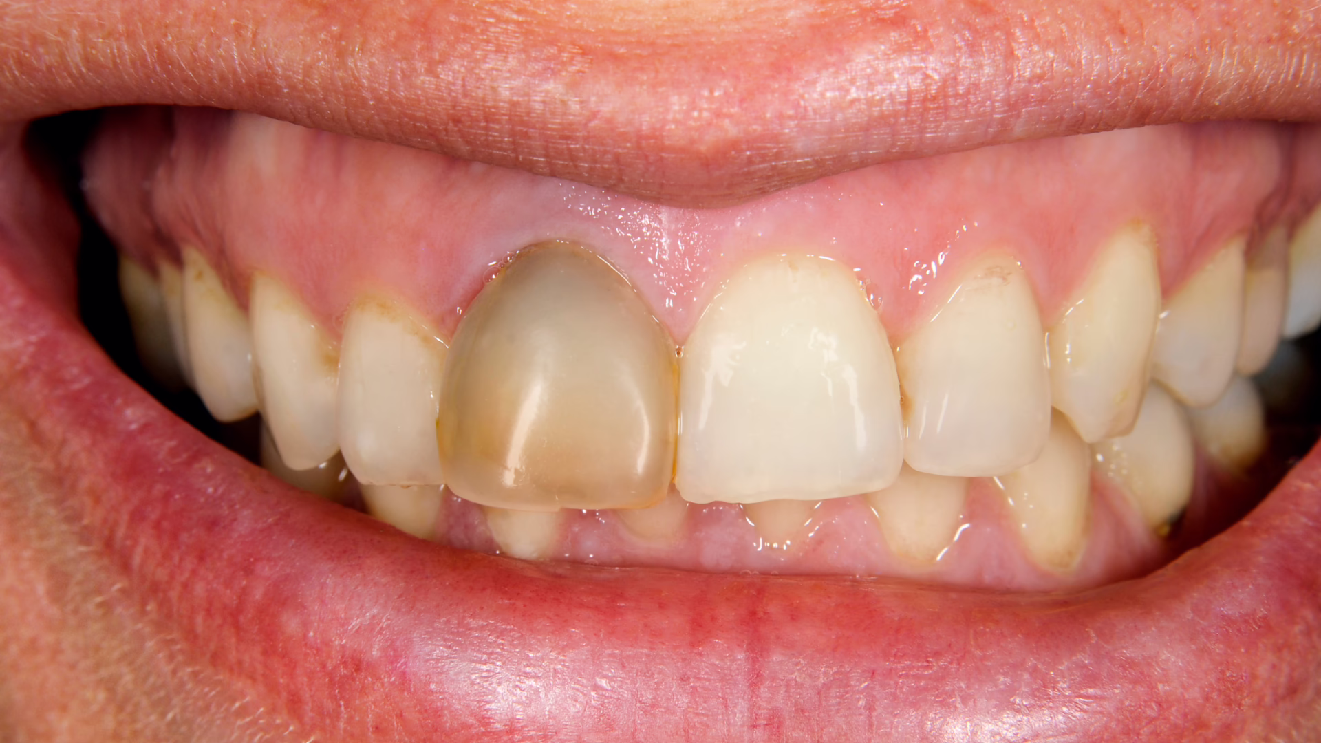
What Is Gum Disease? (And Can It Be Reversed?)
Gum disease has two stages:
Gingivitis – the early stage. Gums may look red, swollen, or bleed when you brush.
✅ This stage can often be reversed with better home care and professional cleanings.
Periodontitis – the advanced stage. Infection begins to damage the bone and supporting tissues around teeth.
❌ This stage cannot be reversed, but it can be treated and controlled to prevent tooth loss.
Signs of Gum Disease
If you notice any of the symptoms below, it’s time to take action:
- Bleeding gums when brushing or flossing
- Red, puffy, or swollen gum tissue
- Persistent bad breath
- Gum recession or teeth that look “longer”
- Tenderness when brushing
- Spaces forming between teeth
- Loose or shifting teeth (advanced stage)
Can You Get Rid of Gum Disease at Home?
You can improve gum health at home, especially in the gingivitis stage. Helpful home habits include:
- Brushing twice a day with a soft-bristled toothbrush
- Flossing daily (the step most people skip—but the most important for gums)
- Using an antibacterial or fluoride mouth rinse
- Staying hydrated
- Replacing your toothbrush every 3 months
However, once tartar (hardened plaque) forms, no home remedy can remove it—it must be cleaned by a dental professional.
Can Dental Cleanings or Hygienists Damage Gums? (Myth Busting)
Some patients worry that cleanings, deep cleanings, or flossing “damage” their gums because they may feel sore afterward. The truth is:
Professional cleanings do not damage your gums.
Inflamed gums bleed more easily, which can make it feel like cleanings are causing harm. In reality, hygienists are removing the bacteria that causes the inflammation in the first place.
Professional dental cleanings are one of the best defenses against gum disease.
How Gum Disease Affects Overall Health
Gum disease doesn’t only affect your mouth. Research has linked periodontal inflammation to:
- Heart disease
- Diabetes complications
- Respiratory infections
- Pregnancy complications
- Weakened immune response
Some patients also report flu-like symptoms during active gum infections. While gum disease isn’t the same as the flu, inflammation and bacteria can impact your immune system. There have also been studies exploring a link between COVID-19 complications and gum inflammation, but research is still developing.
Can Poor Nutrition Cause Gum Disease?
Nutrition plays a bigger role than most people think. Diets high in sugar and low in vitamins (especially Vitamin C and D) can increase inflammation, dry mouth, and bacteria levels—raising your risk for gum disease. Drinking more water and focusing on whole foods supports gum health.
What About Bad Breath?
Bad breath (halitosis) is one of the most common signs of gum disease. When bacteria collects deep under the gumline, odors become trapped. Mouthwash may mask it, but only removing the bacteria solves it. Treating gum disease is one of the most effective ways to eliminate bad breath.
Should I Be Worried About Receding Gums?
Receding gums can be caused by:
- Gum disease
- Aggressive brushing
- Genetics
- Clenching/grinding
- Hormonal changes
- Tobacco use
Recession exposes tooth roots, which can lead to sensitivity and a higher risk of decay. It won’t grow back on its own—but it can be treated.
Scaling and root planing (a deep cleaning) is one of the most effective treatments for gum recession caused by periodontal disease. As the gums heal, they become healthier, tighter, and more stable.
Can Gum Disease Be Deadly?
Gum disease itself is not what causes death. However, advanced untreated periodontal infection can contribute to systemic inflammation and increase health risks, especially for the heart and immune system. This is why dentists and physicians take gum disease seriously.
How to Treat Periodontal Disease
Treatment depends on the stage:
For Gingivitis (Early Stage):
- Professional cleaning
- Improved daily brushing + flossing
- Antibacterial rinse
For Periodontitis (Advanced Stage):
- Scaling and root planing (deep cleaning)
- Periodontal maintenance cleanings
- In severe cases, advanced therapy may be required
The Bottom Line
Early gum disease can be reversed. Advanced gum disease can be controlled. The sooner you act, the better your chances of protecting your teeth, your gums, and your overall health.
Get Help for Gum Disease in Chandler, AZ
If you’re worried about your gums, we’re here to help at Brennan Dental. Schedule a visit with Dr. Elliott Brennan in Chandler to get personalized gum disease treatment and protect your long-term oral health.
📞 (480) 662-3886 | 🗓️ Schedule Your Appointment Online