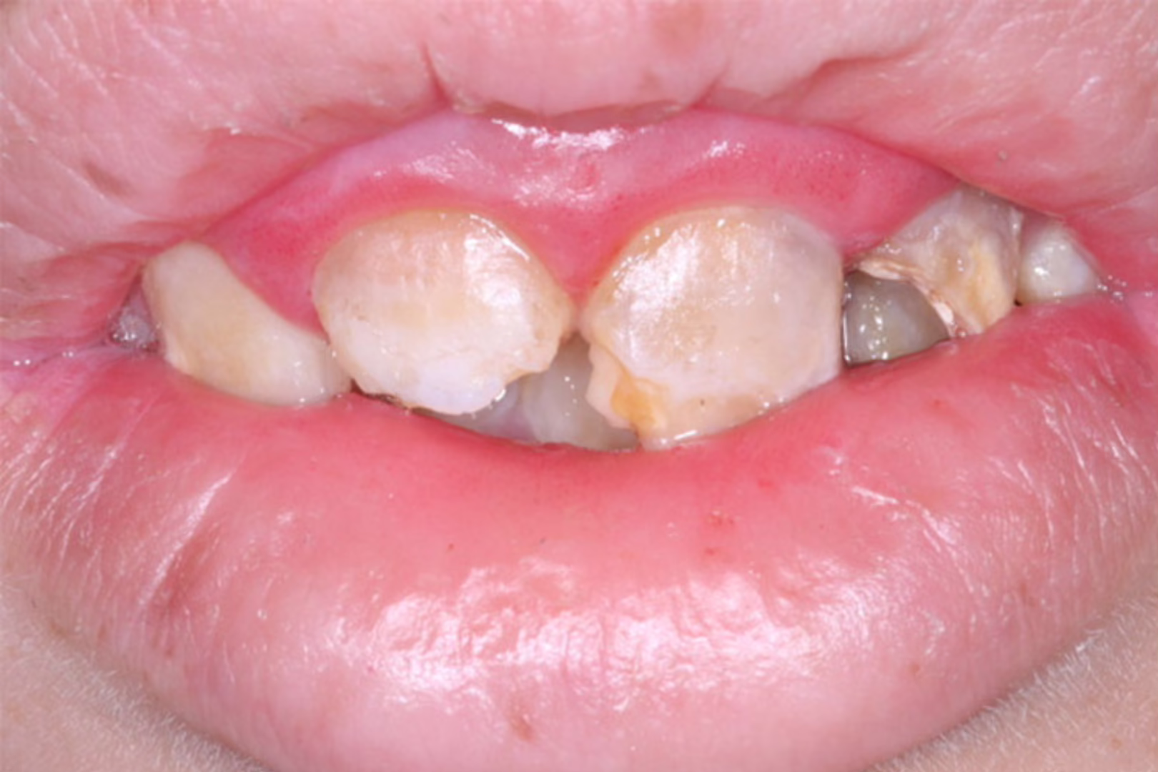
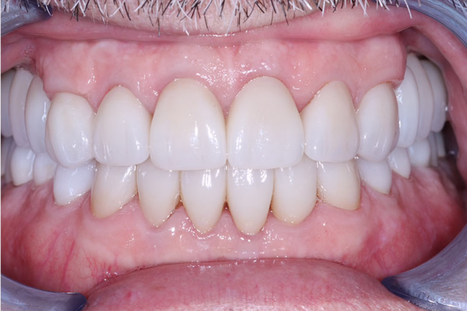
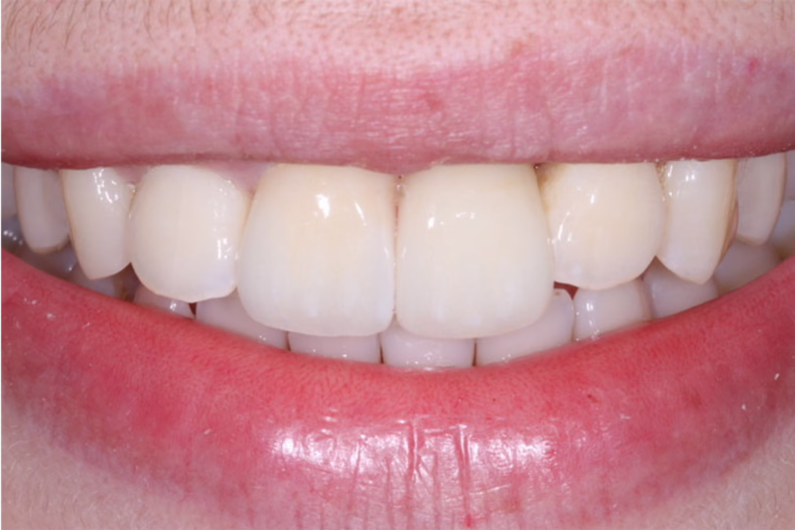
Smile Gallery
Our dental practice is dedicated to offering a wide range of dental services to address different oral health issues and assisting you in achieving the smile makeover you’ve always wanted. Please browse through the images provided and interact with the sliders to see the incredible transformations our happy patients have experienced.
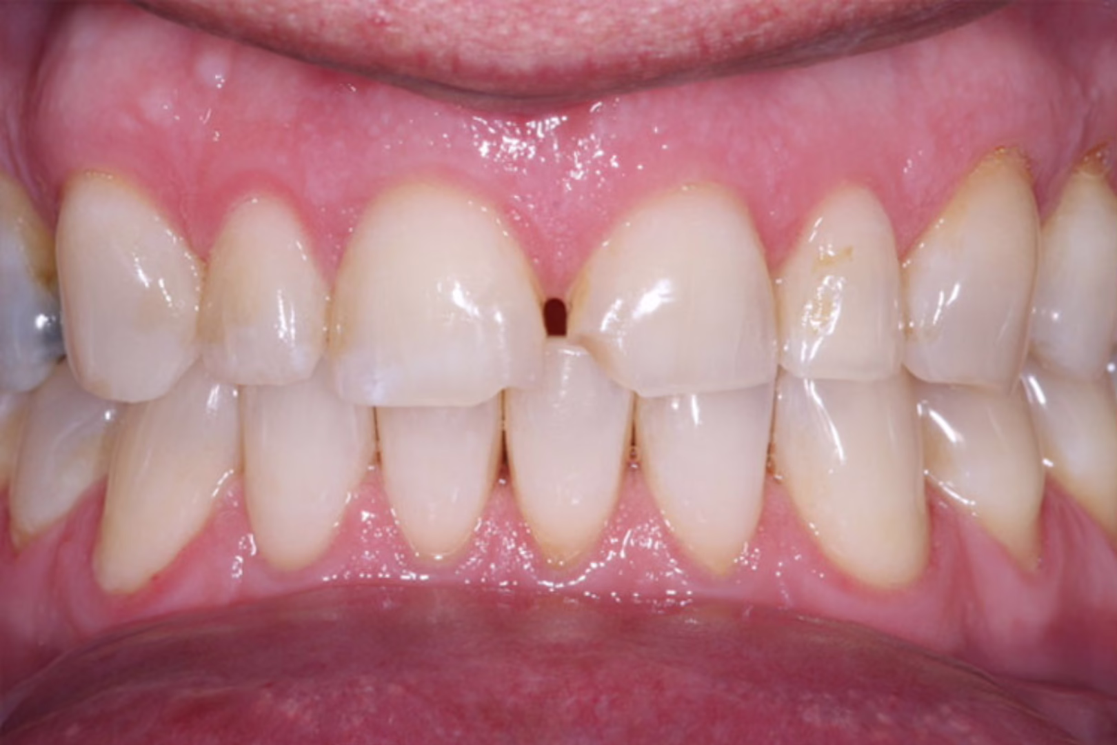
Bonding
A flexible dental treatment designed to address a variety of dental flaws, such as chips, cracks, discoloration or stains, small gaps between teeth, and irregularities in tooth size or shape.
Orthodontics
Clear aligners offer a comfortable and less noticeable substitute for traditional braces. Their nearly invisible appearance allows for a more discreet treatment, and they do not necessitate alterations to your dietary habits.
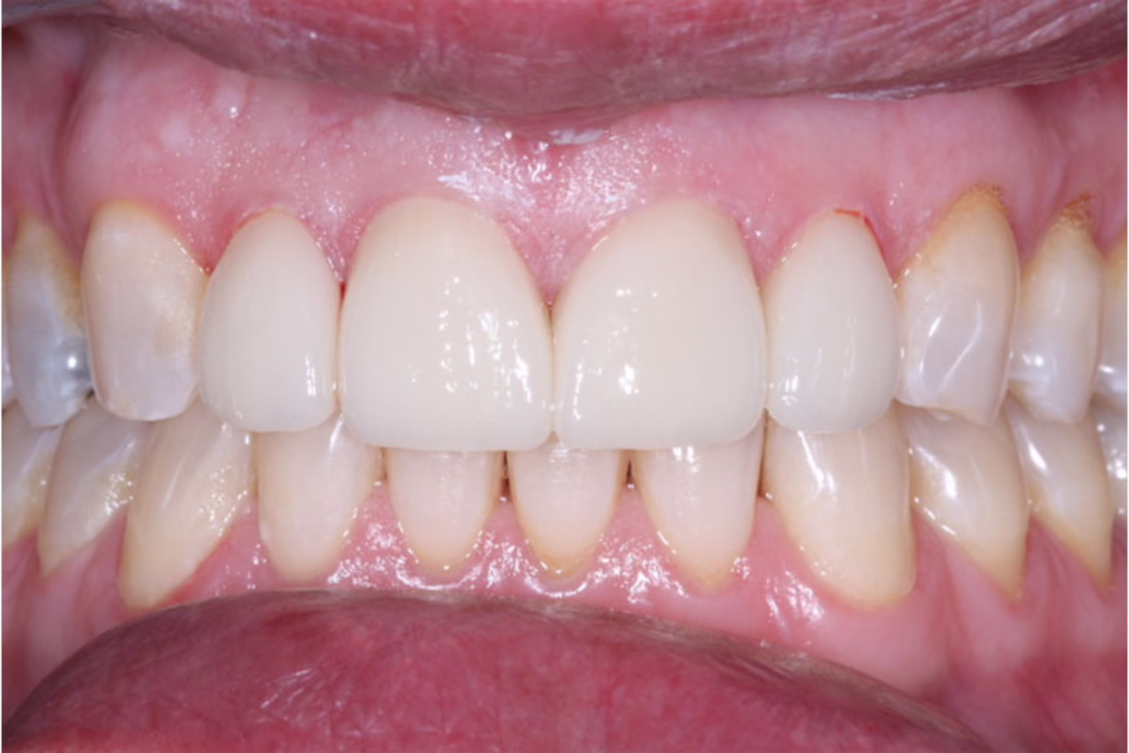
Porcelain Veneers
Dental veneers are an effective solution for enhancing the look of cracked, chipped, stained, or misaligned teeth. Reach out to us today to achieve a perfect smile. These slender porcelain layers are carefully applied over the teeth, resolving various cosmetic concerns.
Dental Implants
Dental implant surgery involves substituting tooth roots with metal, screw-like posts and replacing damaged or missing teeth with artificial ones that closely mimic the appearance and function of natural teeth.
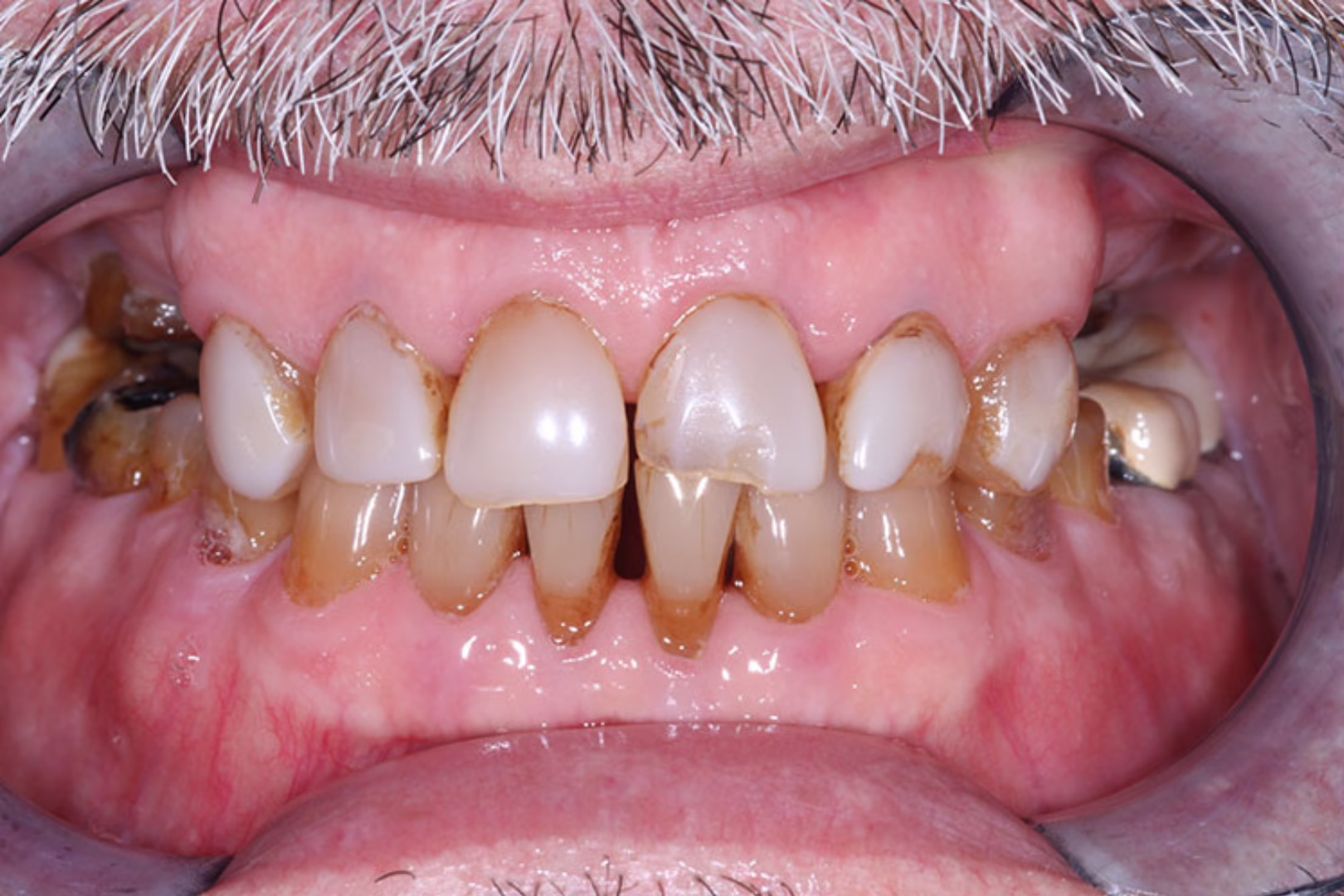
Full Mouth Reconstruction
Full mouth reconstruction is an extensive dental procedure focused on restoring and reconstructing the entire mouth. It is designed to tackle multiple dental problems simultaneously, aiming to achieve optimal oral health and aesthetic results.
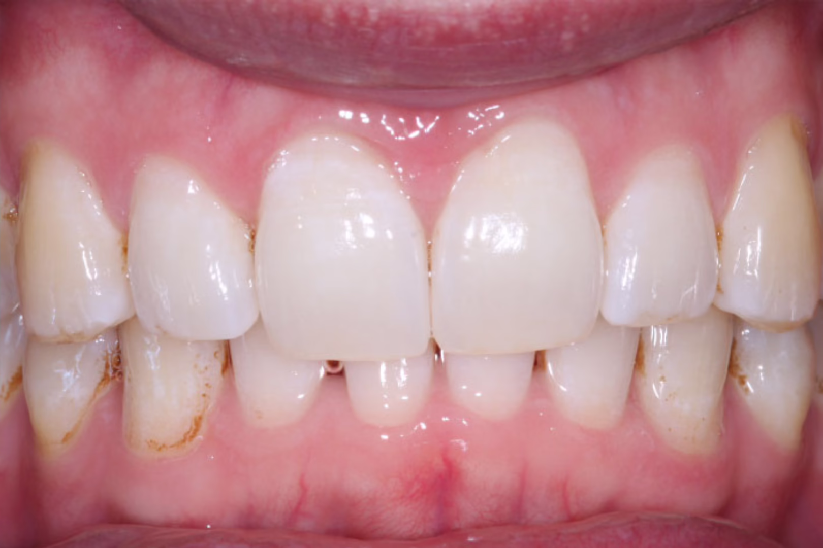
Crowns
Dental crowns are tailor-made restorations that enhance the look of misshapen, discolored, or heavily stained teeth. They contribute to a more natural and attractive smile by encasing the visible part of the tooth with a precisely designed and color-coordinated crown.
Dentures
Dentures are custom-fitted, removable dental prostheses designed to substitute missing teeth and their adjacent tissues. They are individually tailored to comfortably fit the user's mouth, offering both functional and aesthetic advantages for individuals experiencing tooth loss.